ՀՀ տրանսպորտի և կապի նախարարությունը տեղեկացնում է, որ հունվարի 6-ին՝ ժամը 10:00-ի դրությամբ, Աբովյանում, Հրազդանում, Սևանում, Գավառում, Արարատում, Եղեգնաձորում, Վայքում, Մարալիկում, Գյումրիում, Աշոցքում տեղում է ...
Հունվարի 6-ին ժամը 00:40-ի սահմաններում Վաղարշապատի հիվանդանոցից ոստիկանության Վաղարշապատի բաժին ահազանգ է ստացվել, որ մահացած վիճակում իրենց մոտ է տեղափոխվել Արմավիրի մարզի Տարոնիկ գյուղի բնակիչ, 22-ամյա Արամ Տիգրանի Կարապետյա...
Հանրապետության տարածքին է մոտենում հերթական ցիկլոնը. Tert.am-ի հետ զրույցում ասաց Տարածքային կառավարման և արտակարգ իրավիճակների նախարարության «Հիդրոմետ» ծառայության օդերևութաբանության կենտրոնի պետի տեղակալ Գագիկ Սուրենյա...
Սուրբ ծննդյան Ճրագալույցի Սբ.Պատարագ Հայ Եկեղեցին մեր Տեր Հիսուս Քրիստոսի Ծննդյան օրն անփոփոխ նշում է հունվարի 6-ին: Տոնի նախապատրաստությունը սկսվում է դեկտեմբերի 29-ից` Սուրբ Ծննդյան պահքի Բարեկենդանով: Հաջորդ օրը` դեկտեմբերի ...
Հանրապետության տարածքում հունվարի 6-ին շրջանների մեծ մասում սպասվում է ձյուն, առանձին հատվածներում սպասվում է բուք, ցածր հորիզոնական տեսանելիություն, ճանապարհներին` մերկասառույց: Քամին՝ արեւմտյան‵ 2-7 մ/վրկ արագությամբ, առանձին...
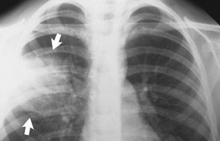
Հանրապետությունում վերջին օրերի ընթացքում սուր շնչառական խնդիրներով հոսպիտալացվել է 24 հղի կին, որոնցից 5-ի մոտ ախտորոշվել է թոքաբորբ: Այս մասին այսօր՝ դեկտեմբերի 5-ին, կառավարությունում տեղի ունեցած խորհրդակցության ժամանակ հայ...
ArmLur.am-ն արդեն հայտնել էր, որ հունվարի 3-ին, ժամը 20.52-ին ՏԿԱԻՆ փրկարար ծառայւությունն ահազանգ է ստացել, որ Սյունիքի մարզի Գորիս քաղաքի մոտակայքում՝ «Անխլի գյոլ» կոչվող հանդամասում գտնվող գոմերի պահակ Կ. Հ.-ն (ծնվ. 1968թ.) ...
Հունվարի 5-ին, ժամը 04:12-ին ահազանգ է ստացվել, որ Կոտայքի մարզի Ծաղկաձոր քաղաքի «Ոսկե աշխարհ» հյուրանոցի մոտակայքում ավտոմեքենան արգելափակվել է ձյան մեջ. դուրս բերելու համար անհրաժեշտ է փրկարարների օգնությունը. տեղեկացնում է Հ...
ԱՆՀունվարի 3-ի երեկոյան Հերացի համալսարանական կլինիկա է հոսպիտալացվել 8-րդ հարկից վայր ընկած երիտասարդ աղջիկ, ծանր վիճակում` բազմակի կոտրվածքներով, ոսկրաբեկորներով վնասված ողնուղեղով։ Անհրաժեշտ գործիքային և լաբորատոր հետազ...
Հովիկ Աբրահամյանը ողջունել է ֆրանսիական ընկերության նախագահ պարոն Մաքինաջյանի ծրագրերն ու նախաձեռնությունները և հայտնել կառավարության աջակցությունը՝ դրանք կյանքի կոչելու գործում: Վարչապետ Հովիկ Աբրահամյանն ընդունե...
Նոր Հայաստան» միավորման անդամները, որոնց նախօրեին բերման էին ենթարկել, ազատ են արձակվել: Այս մասին հայտնեցին Ոստիկանության լրատվական ծառայությունից: Հունվարի 3-ին Ազատության հրապարակից բերման ենթարկված բոլոր 7 քաղաքացիները ազա...
Հանրապետության տարածքում` Հունվարի 5-6-ին, 8-9-ին շրջանների մեծ մասում սպասվում է ձյուն, առանձին հատվածներում սպասվոում է բուք, ցածր հորիզոնական տեսանելիություն, ճանապարհներին` մերկասառույց . տեղեկացնում է ՀՀ տարածքային կառավար...